Hyperplasie Sébacée : Causes, Photos et Traitement au Laser

Publié le 10 octobre 2024 .

Dermatologie esthétique

Éliminez les hyperplasies sébacées avec le laser CO2 chez Skin Marceau. Solution rapide, efficace et sans cicatrice pour une peau lisse et saine.

 

hyperplasie sébacée photos traitement

Qu’est-ce que l’hyperplasie sébacée ?

L’hyperplasie sébacée est une affection dermatologique bénigne qui se caractérise par des petites protubérances cutanées jaunes ou chair sur le visage, généralement autour du nez, du front et des joues. Ces lésions se forment lorsque les glandes sébacées, responsables de la production de sébum, deviennent hypertrophiées et bloquées. Bien que l’hyperplasie sébacée soit inoffensive et non douloureuse, elle peut affecter l’apparence esthétique de la peau, en particulier si les lésions sont multiples.

Localisation des Papules

Les papules associées à l’hyperplasie sébacée apparaissent le plus souvent sur :

  • Le front
  • Les joues
  • Le nez
  • Le menton

Bien que le visage soit la zone la plus touchée, ces lésions peuvent parfois se manifester sur le cou, la poitrine ou le dos, en particulier chez les personnes ayant une peau grasse.

Causes de l’hyperplasie sébacée

L’hyperplasie sébacée est généralement liée à une activité accrue des glandes sébacées, souvent influencée par divers facteurs :

Âge

L’hyperplasie sébacée est plus courante chez les adultes d’âge moyen à avancé. En vieillissant, la production de sébum peut devenir irrégulière, ce qui entraîne l’élargissement des glandes.

Excès de sébum

Les personnes ayant une peau grasse sont plus susceptibles de développer cette affection en raison de la surproduction de sébum par les glandes sébacées.

Facteurs hormonaux

Des fluctuations hormonales, notamment les changements liés à la ménopause, à la puberté ou à certains troubles hormonaux, peuvent augmenter le risque d’apparition d’une hyperplasie sébacée.

Génétique

Il existe un lien génétique potentiel, certaines personnes étant prédisposées à développer cette affection cutanée.

Exposition au soleil

L’exposition prolongée au soleil peut endommager la peau et contribuer à l’hypertrophie des glandes sébacées, augmentant le risque de développer des hyperplasies sébacées.

Symptômes de l’Hyperplasie Sébacée

Les symptômes de l’hyperplasie sébacée sont principalement visibles sur la peau sous la forme de petites papules. Les caractéristiques typiques incluent :

  • Taille : Les papules mesurent entre 1 et 3 mm de diamètre.
  • Forme : Rondes ou ovales, elles présentent souvent une légère dépression au centre.
  • Couleur : Jaunâtre ou couleur chair.
  • Texture : La surface des papules est lisse, et elles ne provoquent pas de douleur ou d’inflammation.

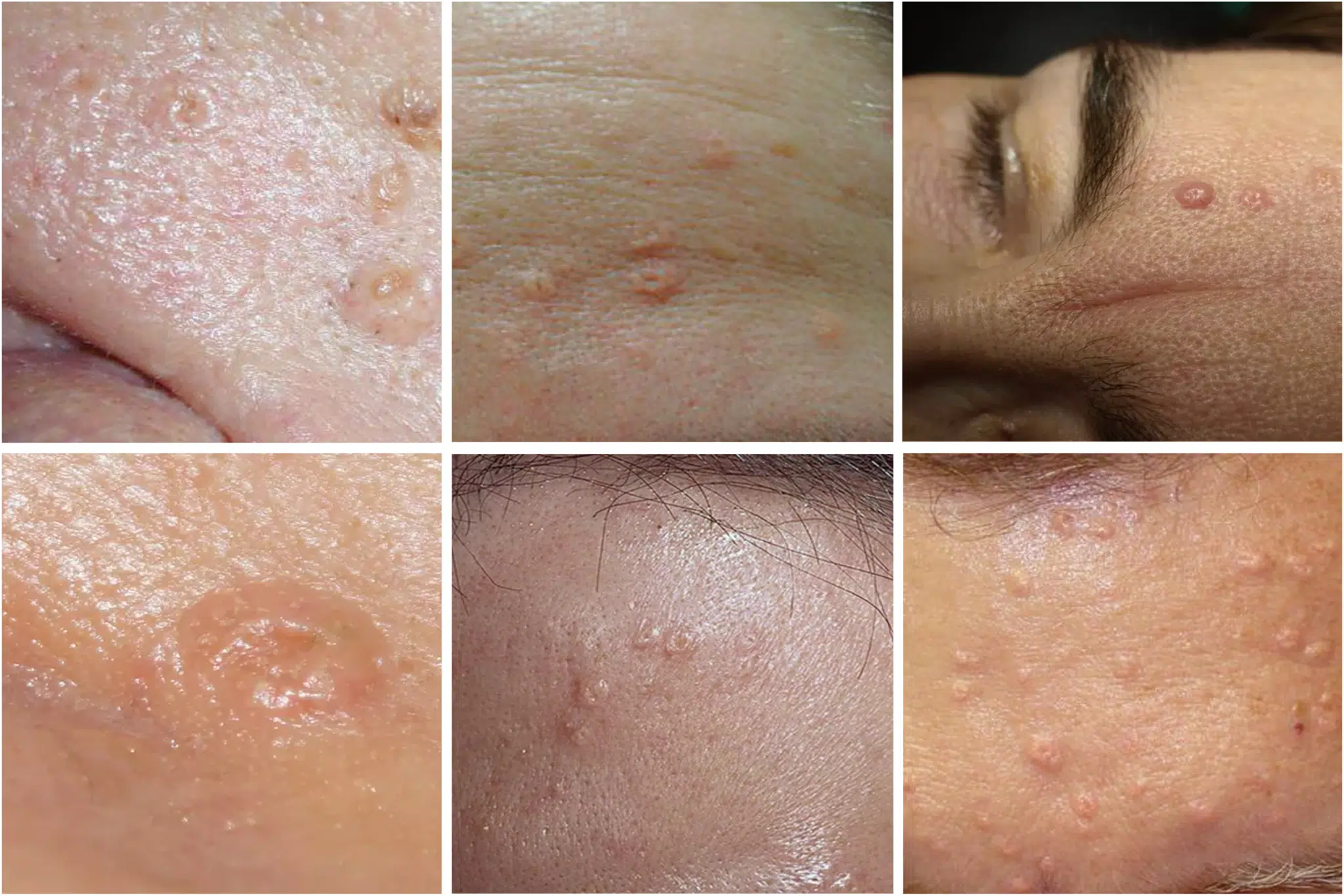
Photos de l’hyperplasie sébacée

Les hyperplasies sébacées apparaissent généralement sous forme de petites bosses jaunes ou transparentes, souvent autour du visage. Elles peuvent ressembler à des boutons, mais elles sont fermes au toucher et ne disparaissent pas comme l’acné. Voici quelques photos typiques montrant l’apparence de ces lésions sur différentes zones du visage.

hyperplasie sebacée photo traitement laser paris
hyperplasie sebacée photo traitement laser paris
hyperplasie sebacée photo traitement laser paris
hyperplasie sebacée photo traitement laser paris
hyperplasie sebacée photo traitement laser paris

Traitement de l’hyperplasie sébacée

Laser CO2 pour traiter l’hyperplasie sébacée

Chez Skin Marceau, nous proposons une solution efficace pour éliminer les hyperplasies sébacées grâce au laser CO2 chirurgical, une technologie qui permet de traiter ces lésions avec précision et efficacité. Ce traitement est particulièrement adapté aux patients qui recherchent une solution non invasive, avec peu ou pas de cicatrices.

Comment fonctionne le laser CO2 ?

Le laser CO2 vaporise la couche superficielle de la peau tout en minimisant les dommages aux tissus environnants. Il cible précisément l’excès de glandes sébacées hypertrophiées, permettant ainsi une élimination complète de la lésion tout en favorisant la régénération d’une peau saine.

Les avantages du traitement par laser CO2 incluent :

  • Résultats immédiats : Les lésions sont généralement éliminées en une seule séance.
  • Récupération rapide : La cicatrisation est rapide, avec un temps d’arrêt minimal.
  • Pas de cicatrices : Le laser permet un traitement localisé, limitant les risques de cicatrices visibles.
  • Confort optimal : Le traitement est rapide et se fait sous anesthésie locale pour assurer un confort maximal.

Autres options de traitement

Bien que le laser CO2 soit le traitement privilégié chez Skin Marceau, d’autres options peuvent inclure traitement par électrocautérisation. Toutefois, ces méthodes sont souvent moins précises et plus susceptibles de laisser des cicatrices.

Prix du traitement des hyperplasies sébacées

Le traitement des hyperplasies sébacées au laser CO2 chez Skin Marceau commence à partir de 300€ par séance.

Le coût exact peut varier en fonction du nombre de lésions à traiter et de leur taille.

Lors de votre consultation initiale, un dermatologue évaluera la zone concernée et vous fournira un devis personnalisé.

Grâce à notre technologie avancée, une seule séance est souvent suffisante pour des résultats visibles, mais plusieurs traitements peuvent être nécessaires dans certains cas.

Conclusion

L’hyperplasie sébacée, bien qu’inesthétique, est une condition bénigne qui peut être traitée efficacement avec les technologies modernes comme le laser CO2.

Chez Skin Marceau, nous utilisons cette technique avancée pour offrir à nos patients un traitement rapide, sûr et avec des résultats durables.

Si vous souffrez de cette affection ou si vous souhaitez en savoir plus sur nos options de traitement, n’hésitez pas à prendre rendez-vous avec notre équipe de dermatologues à Paris.

Questions fréquemment posées

Qu’est-ce que l’hyperplasie sébacée ?

L’hyperplasie sébacée est une affection bénigne de la peau qui se manifeste par une hypertrophie des glandes sébacées, provoquant de petites papules sur le visage.

Qui est le plus souvent touché par l’hyperplasie sébacée ?

Elle affecte principalement les personnes de plus de 40 ans et celles ayant une peau grasse ou mixte.

Quelles sont les causes de l’hyperplasie sébacée ?

Les principales causes sont le vieillissement, l’excès de sébum, l’exposition au soleil, et parfois des déséquilibres hormonaux.

L’hyperplasie sébacée est-elle dangereuse ?

Non, il s’agit d’une affection bénigne sans risque pour la santé, mais elle peut poser un problème esthétique pour certains.

Comment reconnaît-on une lésion d’hyperplasie sébacée ?

Les papules sont de petites excroissances rondes ou ovales, de couleur chair ou jaunâtre, avec une dépression centrale.

L’hyperplasie sébacée peut-elle disparaître d’elle-même ?

Non, ces lésions ne disparaissent généralement pas sans traitement, mais elles ne s’aggravent pas non plus.

Comment diagnostique-t-on l’hyperplasie sébacée ?

Le diagnostic est habituellement posé par un dermatologue à l’œil nu. Dans certains cas, une biopsie peut être réalisée pour exclure d’autres affections cutanées.

Quels sont les traitements disponibles pour l’hyperplasie sébacée ?

Les options incluent le laser CO2, l’électrocoagulation, la cryothérapie, les rétinoïdes topiques, et l’excision chirurgicale.

Le laser CO2 est-il efficace pour traiter l’hyperplasie sébacée ?

Oui, le laser CO2 est l’un des traitements les plus efficaces pour vaporiser les glandes hypertrophiées avec précision.

L’électrocoagulation laisse-t-elle des cicatrices ?

Elle peut laisser de petites cicatrices, surtout lorsqu’elle est utilisée sur de larges zones cutanées.

L’hyperplasie sébacée peut-elle revenir après traitement ?

Il est possible que d’autres lésions apparaissent avec le temps, surtout chez les personnes ayant une prédisposition.

Peut-on prévenir l’hyperplasie sébacée ?

Il n’existe pas de méthode garantie pour prévenir cette affection, mais une bonne protection solaire et l’utilisation de soins adaptés pour les peaux grasses peuvent aider à réduire les risques.

Article rédigé par Skin Marceau

Chez Skin Marceau nous souhaitons rendre la médecine esthétique accessible à tous. Votre bien-être est au centre des thérapies que nous vous proposons.